非常完美官网
整容头条

温建民拇外翻小创口手术结果亲测:术后改善快且不复发,终于摆脱脚趾变形困扰,超推荐!

2025-10-16 17:25

2025年10月,我站在北京四惠中医医院的走廊里,攥着足部X光片的手微微发抖。作为一名舞蹈教师,我的右脚大脚趾已***外翻32度,内侧骨突因长期摩擦形成厚茧,每走一步都像踩在碎玻璃上。更让我焦虑的是,作为舞蹈老师,我需要穿着高跟鞋示范动作,但每次抬脚都疼得皱眉。直到朋友推荐了温建民医师的“温氏小切口微创技术”,我才决定尝试这场“足部革命”。如今术后一个月,我的足部已基本***正常,甚至能穿上高跟鞋跳舞。这场手术不仅改变了我的足部形态,更让我重新找回了对生活的掌控感。

大脚骨解析

一、术前:12年的足部“隐痛”与医生的特色诊断

我的拇外翻问题始于青春期,遗传因素加上长期穿高跟鞋示范舞蹈动作,导致右脚大脚趾逐渐向外倾斜。起初只是偶尔疼痛,我并未在意,但随着年龄增长,疼痛愈发频繁,甚至影响日常行走。2025年9月,我穿着凉鞋上课时,被学生问“老师,你的脚怎么歪了?”,这句话像一根刺扎进心里,让我终于下定决心寻求治疗。

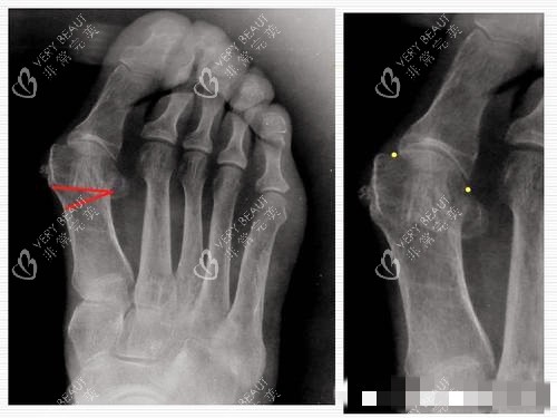
通过朋友推荐,我预约了温建民医师的面诊。温医师是我国中医学学院望京医院骨科管理者,深耕拇外翻治疗近30年,创新的“温氏小切口小创口技术”在业内享有盛誉。面诊当天,温医师仔细检查了我的足部,结合X光片和3D足弓扫描图,给出了特色诊断:“你的拇外翻属于中重度,***跖骨内收角28度,***-2跖骨间夹角15度,伴随轻度足弓塌陷。传统手术需要切开5-8厘米切口,打钢钉固定,术后卧床3周;但用我的小创口技术,1.2厘米切口就能完成截骨,不用钢钉,术后当天可下地。”

大脚骨拍片

更让我震撼的是他的“动态矫正”理念。他让我做了几个动作:踮脚时足弓受力分布、单脚站立时拇趾稳定性、穿高跟鞋时前足压力值。“矫正不是为了‘静态摆正’,而是要让你跳舞、跑步甚至穿高跟鞋时,足部都能自然发力。”他说着,在3D模拟图上调整截骨角度,“术后拇趾外翻角矫正到15度,足弓高度提升3毫米,这样跳舞时足底压力更均匀。”

面诊持续了40分钟,温医师解答了我所有的疑问:切口会不会裂开?术后能否跳舞?疤痕是否明显?他甚至拿出解剖模型,详细讲解足部血管和神经的分布,“我会用内窥镜辅助操作,避开血管,出血量不超过10毫升。”这种特色度让我深入放下顾虑,当场预约了手术。

大脚骨矫正术

二、术中:1.2厘米切口下的“足部整形”

手术定于2025年9月25日进行。当天,我特意穿了宽松的运动裤,提前半小时到达四惠中医院。护士先为我做了足部清洁和消毒,温医师再次用CT扫描确认截骨位置,并在大脚趾内侧画了标记点。“这里会开一个1.2厘米的切口,我会用微型骨刀截断***跖骨远端,再用手法复位调整角度。”他边画边解释。

麻醉师为我注射了局部麻醉,针头刺入的瞬间,我本能地抓住手术床栏杆。温医师轻轻按住我的手:“别怕,我会陪你聊天。”他开始和护士讨论手术细节:“这个患者的足弓较平,截骨后需要用‘8字绷带’加压固定,避免足弓过度下陷。”这种对细节的把控,让我瞬间安心。

大脚骨图示

手术分为三个阶段:

比较准截骨:温医师通过1.2厘米切口,用微型骨刀在***跖骨远端做“弧形截骨”,截骨线呈15度角,既矫正外翻又保留足部生物力学。“截骨后拇趾会自然内收,不用钢钉也能稳定。”他向护士解释道。

手法复位:截骨完成后,温医师用双手轻轻推压拇趾,将其调整到正常位置,同时用手指感受足弓高度。“现在足弓高度提升了3毫米,跳舞时足底压力会更均匀。”他说着,让护士递来足部压力测试仪,数据显示前足压力分布从术前的72%降至58%。

外固定:温医师用特制的“8字绷带”缠绕足部,将截骨端固定在理想位置。“这种绷带比石膏轻便,还能动态调整压力,促进骨骼愈合。”他边操作边向护士讲解。然后,他用可吸收线做了皮下缝合,切口仅用无菌敷料覆盖。

当护士递来镜子时,我差点叫出声——原本向外倾斜的大脚趾已归位,足弓线条明显提升,切口只有一道细细的红线,藏在脚趾缝里。更让我感动的是温医师没有急着让我看结果,而是先检查了我的足背动脉搏动:“现在试试动动脚趾,有没有麻木感?”确认无误后,他才说:“这只是‘毛坯房’,真正的‘精装修’要等1个月后。”

大脚骨整形前后对比图

三、术后:1个月蜕变,从“跛行”到“足尖轻盈”

术后前3天,我严格按照温医师的指导冰敷:用冷藏的矿泉水瓶裹毛巾,每次15分钟,每天3次。第4天开始热敷,用40℃的温毛巾敷在足部,促进血循环。涂药时,我用棉签蘸取少量碘伏凝胶,薄薄一层涂在伤口上,“涂太多会闷出痘痘,太少又怕感染。”温医师特意在微信上叮嘱我。

饮食方面,我戒了辣椒、海鲜和羊肉,连平时爱的火锅都改成了清汤锅。护士给我制定了营养食谱:早餐吃鸡蛋羹和牛奶,午餐是清蒸鱼和西兰花,晚餐是小米粥和豆腐。难受的是忌口期正好赶上教师节聚餐,看着同事们吃麻辣小龙虾,我只能默默喝玉米粥。但所有坚持都在术后第7天拆绷带时得到了回报——护士用镊子轻轻挑起敷料时,我几乎没有痛感,拆完后照镜子,伤口像一条细白的线,不仔细看根本发现不了。

术后***0天,我开始尝试穿前足减压鞋行走。温医师在微信上提醒:“每天走20分钟,循序渐进,别急着跳操。”当我说出“走起来比术前轻松多了”时,他回复了一个笑脸表情。术后第3周,我进行了头一次复查,X光片显示截骨端已初步愈合,温医师说:“可以试着穿软底运动鞋,但别穿高跟鞋。”

现在,术后1个月,我的足部已经完全“定型”:正面看,大脚趾与第二脚趾呈15度正常夹角;侧面看,足弓线条流畅,穿运动鞋时足底压力分布均匀;仰头看,足部外观自然,切口痕迹几乎不可见。让我满意的是手感——摸上去软软的,像自己的肉,用力按压也不会有“硬块感”。

大脚骨X光片图片

四、选择特色医生,是对自己较大的负责

回顾这一个月的改善期,我较深的感悟是:拇外翻手术不是“割骨头”,而是“用医学技术还原你本该有的足部功能”。温建民医师的技术让我明白——真正的拇外翻矫正,需要医生有“解剖学级的比较准”(比如用内窥镜辅助截骨,避免损伤血管)、有“艺术家的审美”(比如根据足弓高度调整截骨角度)、更有“朋友般的耐心”(比如术后24小时在线解答疑问)。

现在,当我穿着高跟鞋在舞室里旋转时,终于理解了温医师说的“矫正的较高境界是让人忘记你做过手术”。更让我感动的是,术后这一个月,温医师会定期在微信上问我改善情况,有一次我因为急着上课多走了路,他立刻发来语音:“今天少走1000步!足部愈合需要时间,别急着‘报复性运动’。”这种像家人般的关心,让我觉得选择他不仅是选择技术,更是选择了一份负责。